±ØÍþÔÙÈ¡½øÕ¹£¡¸£½¨Ò½¿Æ´óѧÐìÔ´ÔøÞÈÃ÷ÍŶÓ£º·Î°©ÔçÆÚÕï¶ÏºÍDZÔÚÖÎÁưеãмû½â

  ÐÂÎÅ×ÊѶ     |      2024-08-01 05:58

¡¡¡¡±ØÍþµ¼¶Á£ºË®Í¨µÀµ°°×3£¨AQP3£©Ö÷ÒªÔÚ·ÎÉÏÆ¤Ï¸°ûÖбí´ï£¬Óë·ÎÏÙ°©£¨LUAD£©ÓйØ¡£È»¶ø£¬AQP3ÔÚLUADÖ×Áö΢»·¾³ÖеľßÌ幦ÄܺͻúÖÆÉÐδ²ûÃ÷¡£

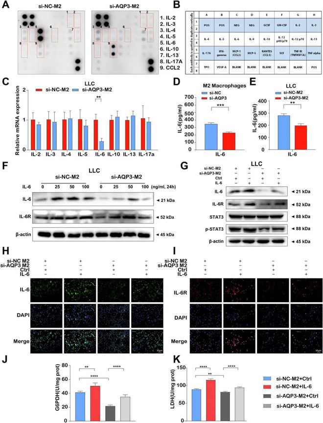
¡¡¡¡7ÔÂ26ÈÕ£¬¸£½¨Ò½¿Æ´óѧÐìÔ´/ÔøÞÈÃ÷Ñо¿ÍŶÓÔÚÆÚ¿¯¡¶Cell Death&Disease¡·ÉÏ·¢±íÁËÑо¿ÂÛÎÄ£¬ÌâΪ¡°PPAR-¦Ã/NF-kB/AQP3 axis in M2 macrophage orchestrates lung adenocarcinoma progression by upregulating IL-6¡±£¬±¾Ñо¿ÖУ¬Ñо¿ÈËÔ±²ÉÓõ¥Ï¸°ûRNA²âÐò£¨scRNA-seq£©Ñо¿½þÈóÖ×Áö΢»·¾³£¨TME£©µÄÃâÒßϸ°ûµÄ×é³É±ØÍþ¡¢Æ×ϵºÍ¹¦ÄÜ״̬£¬²¢·¢ÏÖ5ÀýLUAD»¼ÕßÖбí´ïAQP3µÄÑÇȺ¡£È»ºóÔÚÌåÍâºÍÌåÄÚÑо¿ÁËÆä¹¦ÄÜ¡£Ñо¿±íÃ÷AQP3ÓëLUAD»¼ÕßµÄTNM·ÖÆÚºÍÁܰͽá×ªÒÆÓйØ¡£Ñо¿ÈËԱͨ¹ýscRNA-seq·ÖÎö½«LUADµÄÖ×ÁöÄÚºÍÖ×Áö¼ä¶àÑùÐÔ·ÖΪ12¸öÑÇȺ¡£·ÖÎöÏÔʾ£¬AQP3Ö÷Òª¸»¼¯ÓÚM2¾ÞÊÉϸ°ûÑÇȺÖС£ÖØÒªµÄÊÇ£¬»úÖÆÑо¿±íÃ÷£¬AQP3ͨ¹ýPPAR-¦Ã/NF-¦ÊBÖá´Ù½øM2¾ÞÊÉϸ°û¼«»¯£¬Í¨¹ýµ÷½ÚIL-6µÄ²úÉúÓ°ÏìÖ×ÁöÉú³¤ºÍÇ¨ÒÆ¡£½øÒ»²½ÀûÓûìºÏƤÏÂÒÆÖ²Ö×ÁöСÊóºÍAQP3ÇóýСÊóÄ£ÐÍ£¬·¢ÏÖAQP3ÔÚµ÷½ÚM2¾ÞÊÉϸ°û¼«»¯¡¢µ÷½ÚÖ×ÁöÆÏÌÑÌÇ´úлºÍµ÷½ÚÉÏÓκÍÏÂÓÎͨ··½Ãæ·¢»Ó׏ؼü×÷Óá£×ܵÄÀ´Ëµ£¬±¾Ñо¿±íÃ÷£¬AQP3¿ÉÒÔͨ¹ýPPAR-¦Ã/NF-¦ÊBÖáºÍIL-6/IL-6RÐźÅͨ·µ÷½ÚM2Ð;ÞÊÉϸ°û¼«»¯£¬½ø¶øµ÷¿ØÖ×Áöϸ°ûµÄÔöÖ³¡¢Ç¨ÒƺÍÌÇ´úл£¬ÎªLUADµÄÔçÆÚÕï¶ÏºÍDZÔÚÖÎÁưеãÌṩÁËеļû½â¡£

±ØÍþÔÙÈ¡½øÕ¹£¡¸£½¨Ò½¿Æ´óѧÐìÔ´ÔøÞÈÃ÷ÍŶÓ£º·Î°©ÔçÆÚÕï¶ÏºÍDZÔÚÖÎÁưеãмû½â(ͼ1)

¡¡¡¡·Î°©ÊÇÒ»ÖÖ³£¼ûÇÒÖÂÃüµÄÖ×Áö£¬ÊÇÈ«Çò°©Ö¢Ïà¹ØËÀÍöÂÊ×î¸ßµÄÖ×Áö¡£ÃÀ¹ú·Î°©·¢²¡220ÍòÀý£¬Õ¼È«²¿°©Ö¢·¢²¡µÄ11.4%;ËÀÍö180ÍòÀý£¬Õ¼È«²¿°©Ö¢ËÀÍöµÄ18.1%¡£2016Ä꣬Öйú¹À¼ÆÓÐ82.8ÍòÀý·Î°©Ð·¢²¡ÀýºÍ65.7ÍòÀýËÀÍö¡£·ÎÏÙ°©(Lung adenocarcinoma, LUAD)ÊÇ×î³£¼ûµÄ·ÇСϸ°û·Î°©(non-small cell Lung cancer, NSCLC)ÑÇÐÍ£¬Õ¼·Î°©µÄ40%¡£¾¡¹ÜÊÖÊõÊDZê×¼µÄÖÎÁÆ·½·¨£¬µ«¸´·¢ÂÊÈÔÈ»ºÜ¸ß£¬µ¼ÖÂ5ÄêÉú´æÂʽϵÍ¡£½üÄêÀ´£¬°ÐÏòÖÎÁƺÍÃâÒßÖÎÁÆÔÚLUAD»¼ÕßÖÐÏÔʾ³öÏ£Íû;È»¶ø£¬Ö×ÁöµÄÄÍÒ©ºÍ¸´·¢½øÕ¹ÈÔÈ»ÊÇÖ÷ÒªµÄÌôÕ½±ØÍþ¡£Òò´Ë£¬Á˽âÖ×ÁöµÄ½øÕ¹¶Ô¸ÄÉÆ·Î°©»¼ÕßµÄÔ¤ºóÖÁ¹ØÖØÒª¡£

¡¡¡¡Ö×Áö΢»·¾³(tumor microenvironment, TME)ÓɶàÖÖϸ°û×é³É£¬ÕâЩϸ°ûÓëÖ×Áöϸ°ûÏ໥×÷Ó㬵÷½ÚÉúÎïѧ¹ý³Ì¡£¾ÞÊÉϸ°û×÷ΪTMEÖÐ×îÖØÒªµÄÑÇȺ֮һ£¬¿ÉÒÔͨ¹ý¸Ä±äÆä¹¦ÄܱíÐÍÀ´ÏìӦ΢»·¾³ÖеÄÐźÅ¡£M1Ð;ÞÊÉϸ°ûͨ¹ý¾­µä»î»¯Í¾¾¶±»¼¤»î£¬·¢»ÓÕÐļϸ°û¶¾ÐÔTϸ°ûºÍ×ÔȻɱÉËϸ°ûµÄ×÷Óã¬Ö±½Ó×÷ÓÃÓÚÖ×Áöϸ°û¡£M2Ð;ÞÊÉϸ°ûͨ¹ýÌæ´ú¼¤»î;¾¶´Ù½ø×éÖ¯ÖØËܺʹ´ÃæÓúºÏ¡£ÒÔM2Ð;ÞÊÉϸ°ûΪÖ÷ÒªÌØÕ÷µÄÖ×ÁöÏà¹Ø¾ÞÊÉϸ°û(TAMs)¿É´Ù½ø¼²²¡½øÕ¹±ØÍþ£¬¶ñ»¯»¼ÕßÔ¤ºó¡£ÒÖÖÆM2¼«»¯ºÍ´Ù½øM2ÏòM1¸´¼«»¯ÊǰÐÏòTAMµÄÁ½ÖÖ¿¹Ö×Áö¸¨ÖúÖÎÁÆ·½·¨¡£Òò´Ë£¬È«ÃæÑо¿M2Ð;ÞÊÉϸ°û¶ÔLUADµÄ×÷ÓûúÖÆ£¬¶ÔÓÚ¿¹Ö×Áö¸¨ÖúÖÎÁÆÖаÐÏòTAMs¾ßÓÐÁÙ´²ÒâÒå¡£¶àÏîÑо¿Í¨¹ýµ¥Ï¸°ûRNA²âÐò¼ø¶¨³ö²»Í¬µÄTAMsÑÇȺ£¬·¢ÏÖ²¿·ÖTAMsÑÇȺ±í´ïM1ÐͺÍM2Ð;ÞÊÉϸ°û±íÃæ±êÖ¾»ùÒò£¬ÌáʾÔÚM1ÐͺÍM2Ð;ÞÊÉϸ°ûÖ®¼ä´æÔÚÒ»¸öÖмäTAMsÑÇȺ¡£È»¶ø£¬·ÎÏÙ°©ÖÐDZÔڵĵ÷¿Ø»úÖÆ¼°ÆäÓëM2Ð;ÞÊÉϸ°û¼«»¯µÄ¹ØÏµÉв»ÍêÈ«Çå³þ¡£

¡¡¡¡Ñо¿ÈËÔ±½¨Á¢ÁËÁ½ÖÖÀàÐ͵ÄAQP3Ïà¹ØÖ×ÁöÄ£ÐÍ£¬ÒÔ̽Ë÷AQP3ÔÚÌåÄÚ·ÎÏÙ°©ÖеÄ×÷Óá£ÔÚ¹²½ÓÖÖͬÖÖÒìÌ寤ÏÂÒÆÖ²ÁöÄ£ÐÍÖУ¬sh-AQP3-M2 + LLCϸ°û×éµÄÖ×ÁöÌå»ýºÍÖØÁ¿¾ùСÓÚsh-NC-M2 + LLCϸ°û×é¡£Ö×ÁöÇÐÆ¬HEȾɫÏÔʾÁ½×éºËÖʱÈÒì³££¬µ«²îÒìÎÞͳ¼ÆÑ§ÒâÒå¡£ÃâÒß×éÖ¯»¯Ñ§½á¹ûÏÔʾ£¬Óësh-NC-M2 + LLCϸ°û×éÏà±È£¬sh-AQP3-M2 + LLCϸ°û×éÖÐKi-67µÄ±í´ïÃ÷ÏÔ¼õÈõ£¬CD163µÄÃâÒßÓ«¹âÇ¿¶ÈºÍÃâÒß×éÖ¯»¯Ñ§È¾É«Ç¿¶È¾ùϵ÷¡£Sh-AQP3-M2 + LLCϸ°ûµÄG6PDHºÍLDH»îÐÔÃ÷ÏÔµÍÓÚsh-NC-M2 + LLCϸ°û¡£

±ØÍþÔÙÈ¡½øÕ¹£¡¸£½¨Ò½¿Æ´óѧÐìÔ´ÔøÞÈÃ÷ÍŶӣº·Î°©ÔçÆÚÕï¶ÏºÍDZÔÚÖÎÁưеãмû½â(ͼ2)

¡¡¡¡ÔÚ°±»ù¼×Ëáõ¥ÓÕµ¼µÄAQP3»ùÒòÇóýСÊóÖУ¬Ñо¿ÈËÔ±¹Û²ìµ½WT +°±»ù¼×Ëáõ¥×éÓëAQP3?/?°±»ù¼×Ëáõ¥×éÏà±È£¬·Î±íÃæ½á½ÚÏÔÖøÔö¼Ó¡£´ËÍ⣬WT + GW1929 +°±»ùÒÒÍé×é·Î±íÃæ½á½ÚÊýÁ¿ÏÔÖøÔö¼Ó£¬±íÃ÷AQP3ȱʧ¿ÉÄÜ»áÒÖÖÆÖ×ÁöÉú³¤£¬¶øPPAR-¦Ã¼¤¶¯¼Á¿ÉÒÔ´Ù½øÖ×Áö½øÕ¹¡£´ËÍ⣬Ñо¿ÈËÔ±¹Û²ìµ½AQP3?/?+ GW1929 +¾Û°±õ¥×é·Î±íÃæ½á½ÚÊýÁ¿ÓëAQP3?/?+¾Û°±õ¥×éÎÞÏÔÖø²îÒ죬µ«AQP3?/?+ GW1929 + IL-6 +¾Û°±õ¥×é·Î±íÃæ½á½ÚÊýÁ¿Ôö¼Ó¡£·Î½á½ÚµÄ×é֯ѧ¼ì²éÓÃHEºÍKi-67ȾɫÏÔʾÀàËÆµÄ½á¹û¡£

¡¡¡¡Ëæºó£¬Ñо¿ÈËÔ±Ñо¿ÁËAQP3¶ÔСÊó·Î×éÖ¯ÖÐM2¾ÞÊÉϸ°û¼«»¯ºÍÌÇ´úлµÄÓ°Ïì¡£Ñо¿½á¹û±íÃ÷£¬ÓëWT +°±»ù¼×Ëáõ¥×éÏà±È£¬ÇóýAQP3ÏÔÖø½µµÍÁËСÊó·Î×éÖ¯ÖÐF4/80+CD206+ϸ°ûµÄ±ÈÀý¡£¶øGW1929ºÍIL-6¶ÔAQP3ÇóýСÊóF4/80+CD206+ϸ°ûµÄ´Ì¼¤±ÈÀýÎÞÃ÷ÏԱ仯¡£IHC·ÖÎöÏÔʾ£¬AQP3ÔÚËùÓÐÇóýСÊóÖоùΪÒõÐÔ±í´ï£¬ÆäÖÐÒ°ÉúÐÍСÊóµÄȾɫ×îΪÏÔÖø£¬ÓÈÆäÊÇWT + GW1929 +°±»ù¼×Ëáõ¥×é¡£Ò°ÉúÐÍСÊóµÄCD163ȾɫÃܶȸßÓÚAQP3ÇóýСÊó¡£Ò°ÉúÐͺÍIL-6´Ì¼¤µÄAQP3ÇóýСÊóIL-6¡¢GLUT1ºÍLDHAÃâÒß×黯ȾɫÉý¸ß£¬µ«±ä»¯²»ÏÔÖø¡£G6PDHºÍLDH»îÐÔ¼ì²âʵÑé֤ʵ£¬G6PDHºÍLDHÔÚWT +°±»ù¼×ËáÒÒõ¥×éµÄ±í´ïÁ¿ÏÔÖø¸ßÓÚAQP3?/?+°±»ù¼×ËáÒÒõ¥×飬ÆäÖÐWT + GW1929 +°±»ù¼×ËáÒÒõ¥×éµÄ±í´ïÁ¿×îΪÏÔÖø¡£AQP3?/?+ GW1929 +°±»ù¼×ËáÒÒõ¥×éÓëAQP3?/?+°±»ù¼×ËáÒÒõ¥×éG6PDHºÍLDH±í´ïÁ¿ÎÞÏÔÖø²îÒ죬¶øAQP3?/?+ GW1929 + IL-6 +°±»ù¼×ËáÒÒõ¥×éG6PDHºÍLDH±í´ïÁ¿ÏÔÖøÉý¸ß¡£ÕâЩ·¢ÏÖ±íÃ÷£¬AQP3¶ÔM2Ð;ÞÊÉϸ°û¼«»¯¡¢Ö×Áö·¢Éú¡¢ÌÇ´úлºÍÉÏÏÂÐÐͨ·ÖÁ¹ØÖØÒª¡£

¡¡¡¡×ÛÉÏËùÊö±ØÍþ£¬±¾Ñо¿±íÃ÷AQP3ͨ¹ý¸ÉÈÅM2¾ÞÊÉϸ°û¼«»¯µ÷½ÚÖ×Áöϸ°ûµÄÔöÖ³ºÍÇ¨ÒÆ¡£PPAR-¦Ã/NF-¦ÊBÖáÊÇAQP3½éµ¼µÄM2¾ÞÊÉϸ°û¼«»¯µÄÉÏÓÎÐźÅͨ·£¬¶øIL-6ÊÇAQP3½éµ¼µÄÖ×Áö½øÕ¹µÄ¹Ø¼üÏÂÓηÖ×Ó¡£ÕâЩ·¢ÏÖΪ·Î°©µÄÔçÆÚ·¢ÏÖºÍÖÎÁÆÑо¿ÌṩÁËеÄÀíÂÛºÍʵÑé»ù´¡¡£

¡¡¡¡×ª»¯Ò½Ñ§Íø£¨ÊÇת»¯Ò½Ñ§ºËÐÄÃÅ»§£¬Ö¼ÔÚÍÆ¶¯»ù´¡Ñо¿¡¢ÁÙ´²ÕïÁƺͲúÒµµÄ·¢Õ¹£¬ºËÐÄÄÚÈݺ­¸Ç×éѧ¡¢¼ìÑé¡¢ÃâÒß¡¢Ö×Áö¡¢ÐÄѪ¹Ü¡¢ÌÇÄò²¡µÈ¡£ÈçÄúÓÐ×îеÄÑо¿ÄÚÈÝ·¢±í£¬»¶Ó­betway±ØÍþÖйú½øÐÐÃâ·Ñ±¨µÀ£¨¹«ÖںŲ˵¥À¸-ÔÚÏ߿ͷþÁªÏµ£©£¬ÎÒÃǵÄÀíÄÄÚÈÝ´´Ôì¼ÛÖµ±ØÍþ£¬×ª»¯Öý¾ÍδÀ´£¡

¡¡¡¡×ª»¯Ò½Ñ§Íø£¨£©·¢²¼µÄÎÄÕÂÖ¼ÔÚ½éÉÜÇ°ÑØÒ½Ñ§Ñо¿½øÕ¹£¬²»ÄÜ×÷ΪÖÎÁÆ·½°¸Ê¹Óã»ÈçÐè»ñµÃ½¡¿µÖ¸µ¼£¬ÇëÖÁÕý¹æÒ½Ôº¾ÍÕï¡£